Tagesklinik
>
Implantate
>
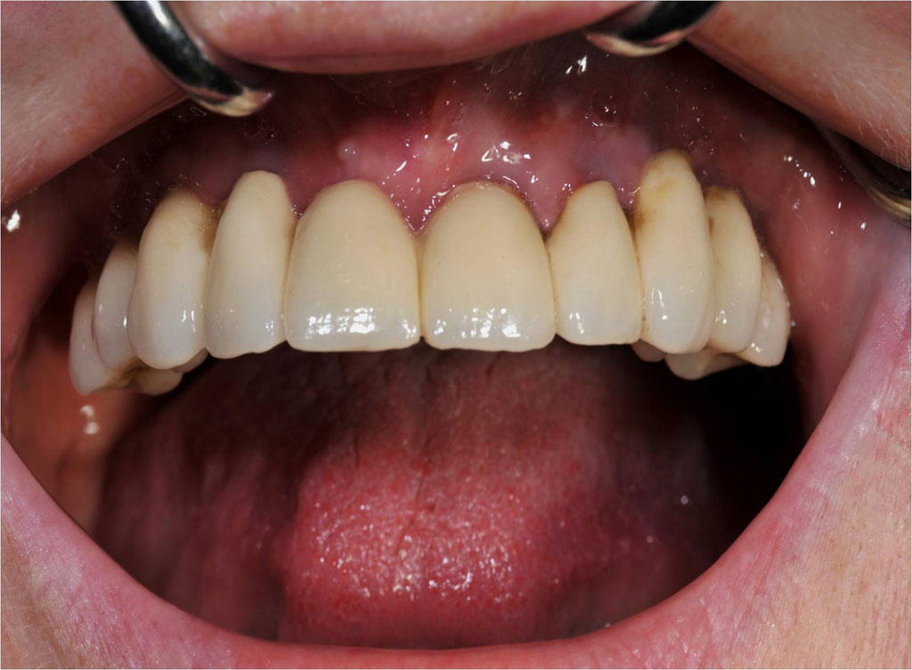
Oberkiefer festsitzende Brücke
Persönliche Vorstellung
Tagesklinik
Klinikphilosophie
Fortbildungszentrum
Labor
Leistungsverzeichnisse
Digitale Volumentomographie - DVT
3D geplante Implantate & navigierte Implantation
Implantate
Einzelzahnersatz
Ersatz mehrerer Zähne
Unterkiefer Stegversorgung
Oberkiefer abnehmbare Versorgung
Oberkiefer festsitzende Brücke
Ästhetik von Implantaten
Nichtanlage von Zähnen
Anfahrtsbeschreibung
Öffnungszeiten
Impressum
Datenschutzerklärung
Inhaltsverzeichnis
Druckansicht
Kontakt-Formular
Login
Oberkiefer festsitzende Brücke
Zahnarzt Dr. med. dent. Semlinger
powered by webmaster4u.de