Header Bild
 
 
 

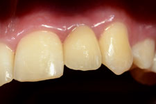
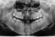
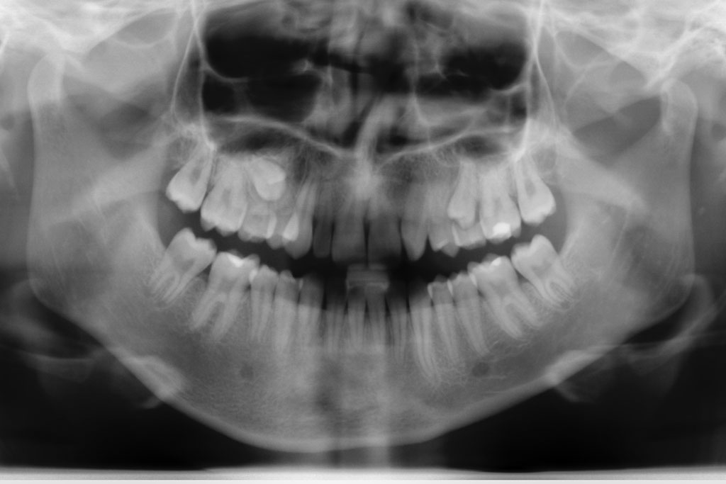
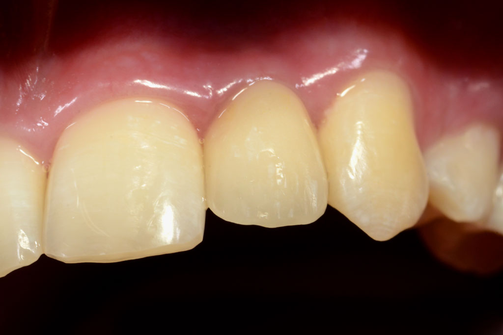
Nichtanlage von Zähnen

 

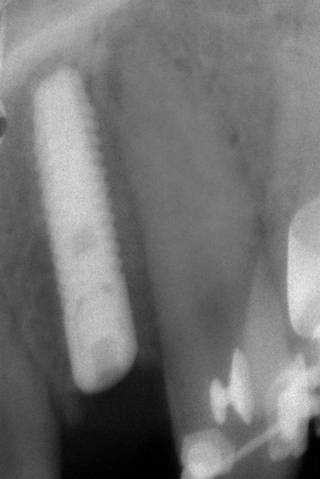
Die Nichtanlage der seitlichen oberen Schneidezähne und der zweiten unteren kleinen Backenzähne (Prämolaren) ist relativ häufig.

Wir verfügen über eine jahrzehntelange Erfahrung in der kieferorthopädischen Vorbehandlung, Implantologie und der prothetischen Versorgung von Nichtanlagen, sowie der Chirurgie und der Einordnung von verlagerten bleibenden Zähnen ohne den Einsatz von Implantaten.

 

   
 

Zahnarzt Dr. med. dent. Semlinger