Header Bild
 
 
 

Ersatz mehrerer Zähne

 

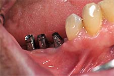
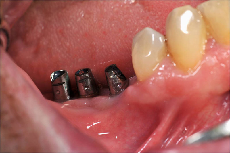
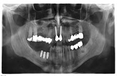
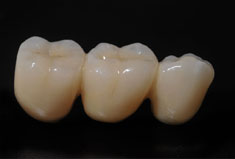
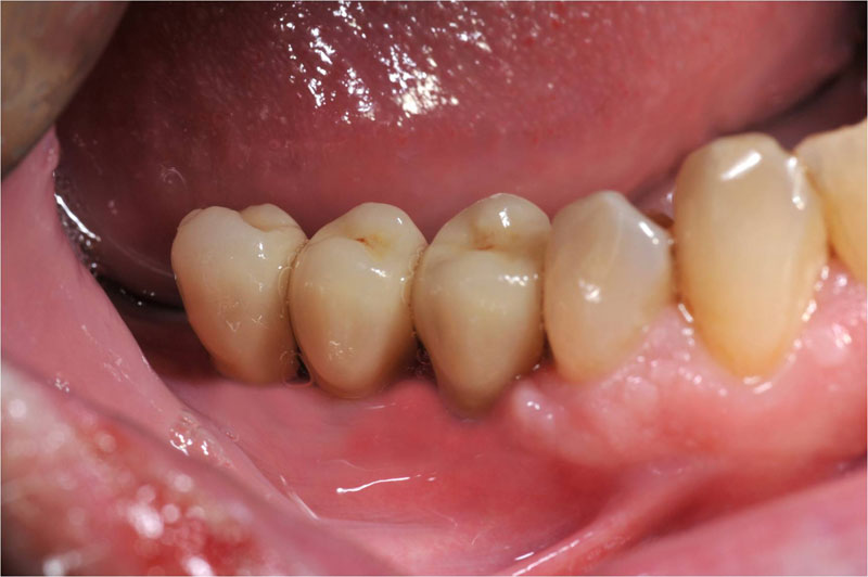
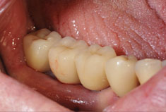
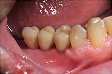
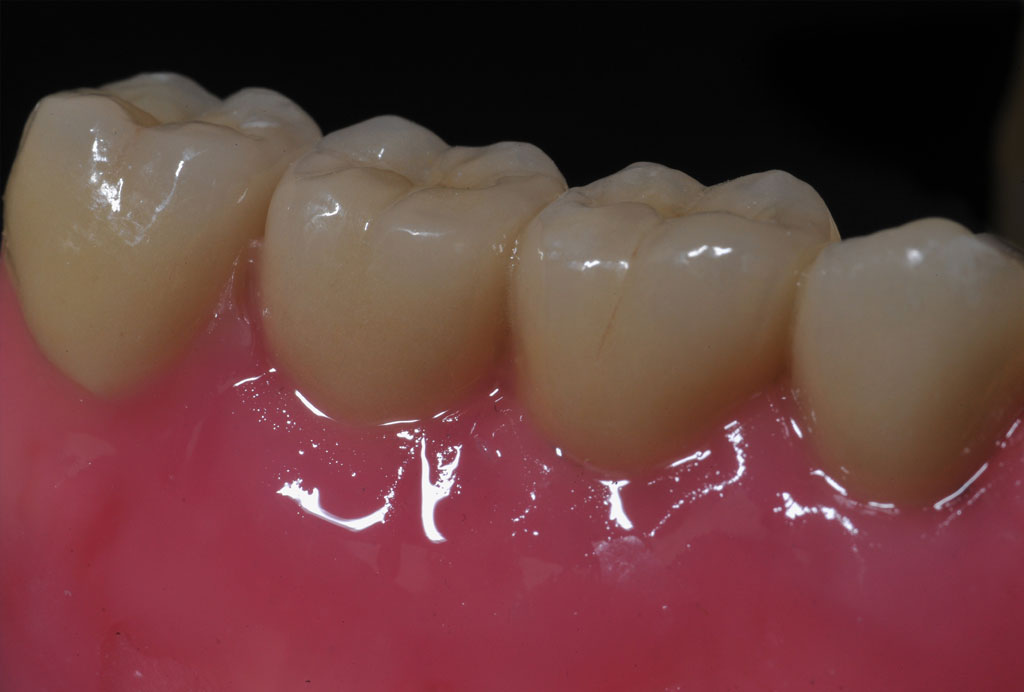
Fehlen in der Front oder im Seitenzahnbereich mehrere Zähne, ist eine Brücke oder Prothese vollkommen unnötig. Die fehlenden Zähne können entweder einzeln durch eine entsprechende Anzahl von Implantaten oder durch implantatgetragene festsitzende Brücken ersetzt werden. Das Bild der Kronen zeigt die drei Verschraubungen deutlich, im Mund liegen diese verdeckt am Gaumen oder im Bereich der Zunge.

 

   

 


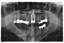
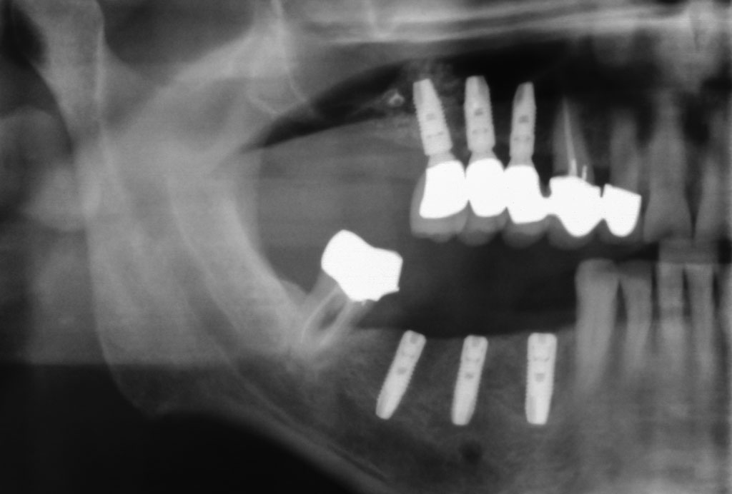
DVT mit 3D-Planung
 

Zahnarzt Dr. med. dent. Semlinger