Header Bild
 
 
 

Einzelzahnersatz

 

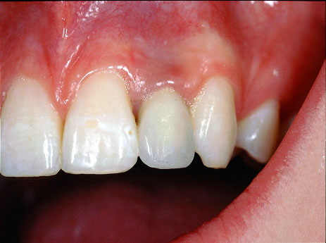
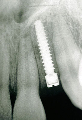
Einzelne Zähne können auch in völlig gesunden Gebissen durch Unfall oder Entzündungen verloren gehen, ebenso sind besonders die oberen seitlichen Schneidezähne häufiger nicht angelegt. Die drei Bilder zeigen den Ersatz eines nicht angelegten seitlichen oberen Schneidezahnes bei einem Jugendlichen.

 

 

 

 

  

 

Zahnarzt Dr. med. dent. Semlinger