Digitale Volumentomographie - DVT
Mit der Digitalen Volumentomographie (DVT) steht seit 1998 eine Röngtentechnik zur Verfügung, welche mit hoher Detailgenauigkeit (bis zu 0,125 mm), sehr geringer Strahlenbelastung und kurzer Aufnahmezeit eine echte 3D- Aufnahme (dreidimensionale Aufnahme) liefert. Nach den grossen Messen 2009 und 2011 erlangte das DVT auch Bedeutung in der Zahnmedizin und derzeit sind in Deutschland ca 400 allerdings meist kleinvolumige Geräte im Einsatz.
Die Vorteile des Verfahrens liegen auf der Hand :
- Hohe Detailgenauigkeit und weniger Artefakte eröffnen völlig neue Dimensionen in der 3D- Diagnostik, 3D- Planung und computergestützter Implantation. Ebenso sind Tumordiagnostik und Fremdkörpersuche deutlich erleichtert.
- Im Vergleich zum herkömmlichen Computertomogramm (CT) ist die Strahlenbelastung auf 10% und weniger reduziert, ein ganz wesentlicher Beitrag zur insgesamt nicht gerade geringen Strahlenbelastung der Bevölkerung. Daher muss die Indikation zum CT wesentlich kritischer gestellt werden, wenn es um die Darstellung von Hartgewebe z.B. Knochen geht.
- Die wesentlich verkürzte Aufnahmezeit (10-20 sec) erlaubt bei fast jedem Patienten in der optimalen sehr angenehmen sitzenden Aufnahmeposition bestmögliche Ergebnisse.
- Im Gegensatz zum CT, welches aus zweidimensionalen Schnitten die dritte Dimension errechnet, liefert das DVT durch ein kegelförmiges Strahlenbündel (cone beam) primär einen echten dreidimensionalen (räumlichen) Datensatz. Hieraus lassen sich dann sekundär sämtliche Rekonstruktionen von coronal, sagittal, paraaxial (d.h. aus allen Blickrichtungen) sowie 3D- Ansichten des Knochens darstellen. Auch die häufig angewandte Panoramaaufnahme (OPG) steht selbstverständlich zur Verfügung.
- Allerdings setzt die Auswertung eines DVT eine deutlich höhere Erfahrung als beim herkömmlichen Röntgen voraus
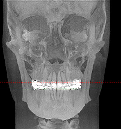
Im folgendem sehen Sie die Darstellung eines Teils des menschlichen Schädels mit Lokalisation des Nervkanales.
Frontalansicht |
Orthopantomogramm (OPG) (Nervverlauf farblich dargestellt) |
 Sagittalansicht |
Coronalansicht |
3D-Darstellung |
 Querschnitt Unterkiefer |
Die Vorteile des DVT sind :
Sichere, zielgenaue und hiermit für den Patienten weniger belastende Eingriffe aufgrund exakter räumlicher Diagnostik bei ganz wesentlich reduzierter Strahlenbelastung. Dieses betrifft Implantationen, Kieferchirurgie (z.B. Weisheitszähne) ebenso wie Tumordiagnostik, Frakturen und Nasennebenhöhlen.
Neben dieser revolutionären Röngtentechnik bieten wir selbstverständlich alle digitalen zahnärztlichen Röngtenverfahren wie Einzelzahnaufnahmen, Orthopantomogramm (Panorama- Schichtaufnahme) und Fernröngten an.
|