Header Bild
 
 
 

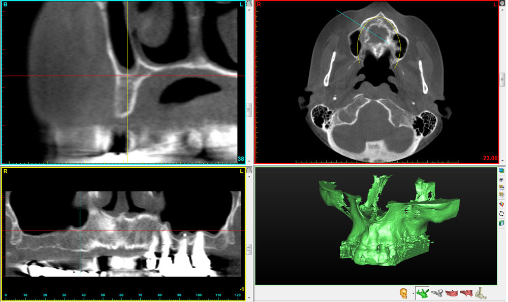
3D geplante Implantate

 

Die 3D Planung setzt ein sehr gutes CT oder besser ein Digitales Volumentomogramm (DVT) voraus. Sie erlaubt dem Behandler eine absolut genaue 3D Simulation der Operation. Hierdurch wird die Operationsdauer um ca. 50 % verringert und die Möglichkeit einer Verletzung von Nachbarstrukturen (z.B. der Unterkiefernerv) praktisch ausgeschlossen.

Der Patient kann vorher eine 3D Simulation seines Implantes sehen.
Auch wenn im Augenblick die Voraussetzungen für diese Technik in der Bundesrepublik noch nicht sehr verbreitet sind, betrachten wir die 3D Planung nach vier Jahren Erfahrung für unerlässlich.

 

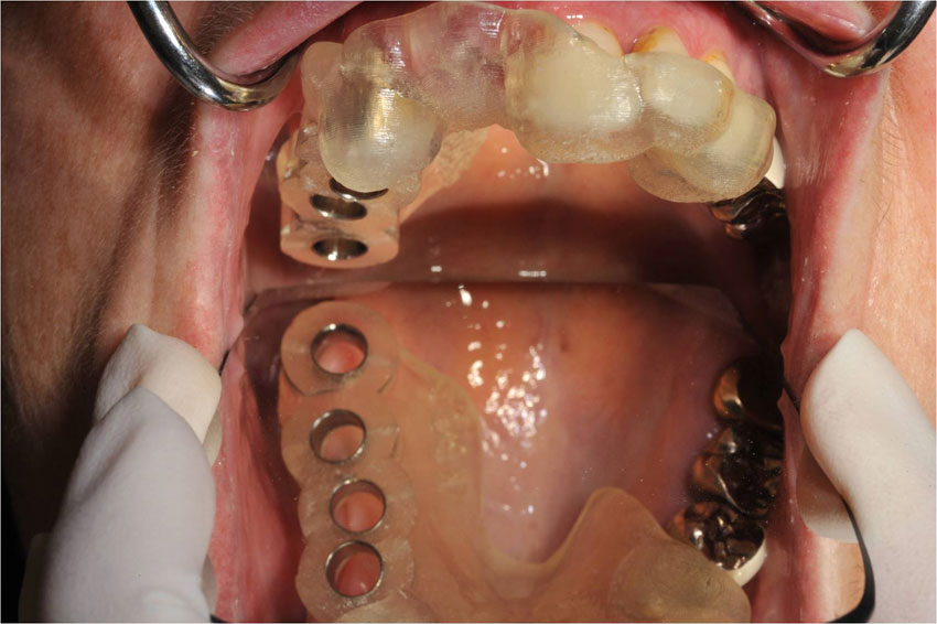
3D navigierte Implantation

 

Die neueste Entwicklung in der Implantologie ist die 3D navigierte Implantation.
Wir führen diese mit dem Simplant pro ® Guided Surgery System durch.

Grundlage hierfür ist immer ein 3D Datensatz aus einer DVT- Aufnahme. Die Genauigkeit ist extrem hoch, da die Operationsschablone nicht mittels Modellen, sondern computergesteuert mittels CAD/CAM Technik gefräst wird.

Der Vorteil liegt in der direkten Umsetzung der Planung und erlaubt bei komplexen Fällen ein sehr genaues Operieren mit gleichzeitiger Verkürzung der Operationszeit.

 

 

 

 

 

 
 

Zahnarzt Dr. med. dent. Semlinger